23.10.2025 09:37

Възстановяваме мозъчни клетки: Учените

Видян 717 пъти | Коментари 0
Гласували 0 рейтинг: 0.0000
много слаба слаба добра много добра страхотна

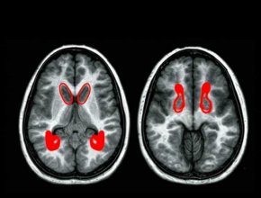
Дълго време се смяташе, че човешкият мозък спира да произвежда нови нервни клетки след детството. Нови изследвания обаче опровергават това убеждение и показват, че процесът на неурогенеза — създаването на нови неврони — продължава и в зряла възраст. Учените са открили активни клетки-предшественици в хипокампуса — зоната, отговорна за паметта и ученето, дори при хора на 70 и повече години.


Според проучвания, публикувани в Scientific American и Nature, тези нови неврони играят ключова роля за когнитивната гъвкавост и адаптивност на мозъка. Физическата активност, интелектуалната стимулация и здравословната диета се посочват като фактори, които могат да подпомогнат растежа на нови мозъчни клетки.


Въпреки че процесът все още не е напълно изяснен, откритието дава нова надежда за лечение на заболявания като Алцхаймер и депресия. Учените подчертават, че стимулирането на мозъка чрез учене и движение може не само да забави когнитивния спад, но и реално да помогне мозъкът ни да расте — дори след 50-годишна възраст.


Кирил Пламенов


 



Добави в:

Facebook facebook.com

19min.media си запазва правото да изтрива коментари, които не спазват добрия тон.

Толерира се използването на кирилица.

Няма коментари към тази новина !

RSS

Най-нови

реклама

към тв програма тв програма

бТВ Екшън 22 февруари 21:00ч.

Отново на 17 2009 г. ‧ Комедия/Фентъзи ‧ 1 ч 42 мин

Режисьор: Бър Стиърс (Burr Steers)
В ролите: Зак Ефрон Майк О'Донъл Матю Пери (Майк О'Донъл) Матю Пери Майк О'Донъл Лесли Ман (Скарлет) Лесли Ман Скарлет Томас Ленън (Нед) Томас Ленън

виц на деня

По улицата върви блондинка. Едната и гърда изскочила от блузата. Всички ахкат и охкат, и само един полицай намира в себе си мъжество да й каже:

- Госпожо, защо сте в такъв вид на обществено място!?

Тя си поглежда гърдата и възкликва:

- Ужас! Забравила съм си детето в автобуса!

към хороскоп хороскоп

козирог